Сайт использует куки
Наш сайт использует файлы куки (cookies), чтобы улучшить работу сайта, повысить его эффективность и удобство. Продолжая использовать сайт, Вы соглашаетесь на использование файлов куки. Подробнее
Вопрос 1 из 3
Жалобы:
Боли в области уретры после парауретрального введения геля на основе гиалуроновой кислоты, рези при мочеиспускании, частые обострения цистита посткоитально 2-3 раза в месяц в течение 5 лет.
Внутрь Фурамаг® (фуразидина калиевая соль)
100 мг 3 раза/день, 7 дней.
С целью купирования болевого синдрома нимесулид
1 саше 1-2 раза/день, при болях, 3 дня.
Внутрь растительный фитопрепарат
21 день.
Суперлимф 25 ЕД
по 1 суппозиторию 1 раз/сутки, чередование ректального и вагинального способа введения. Длительность курса до 10 дней, повторить курс через 2-3 мес.
Свечи с бовгиалуронидазой 3 000 МЕ
вагинально по 1 суп. 1 раз/день на ночь, до 20 дней.
Надлежащая интимная гигиена
(например, специализированные гели).
ТЕКАР-терапия
2 сеанса/неделю. Всего 10 сеансов.
Жалобы: активно не предъявляет
Анамнез: частые обострения цистита посткоитально в течение 5 лет (обострения 2-3 раза в месяц)
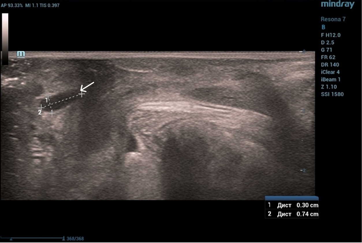
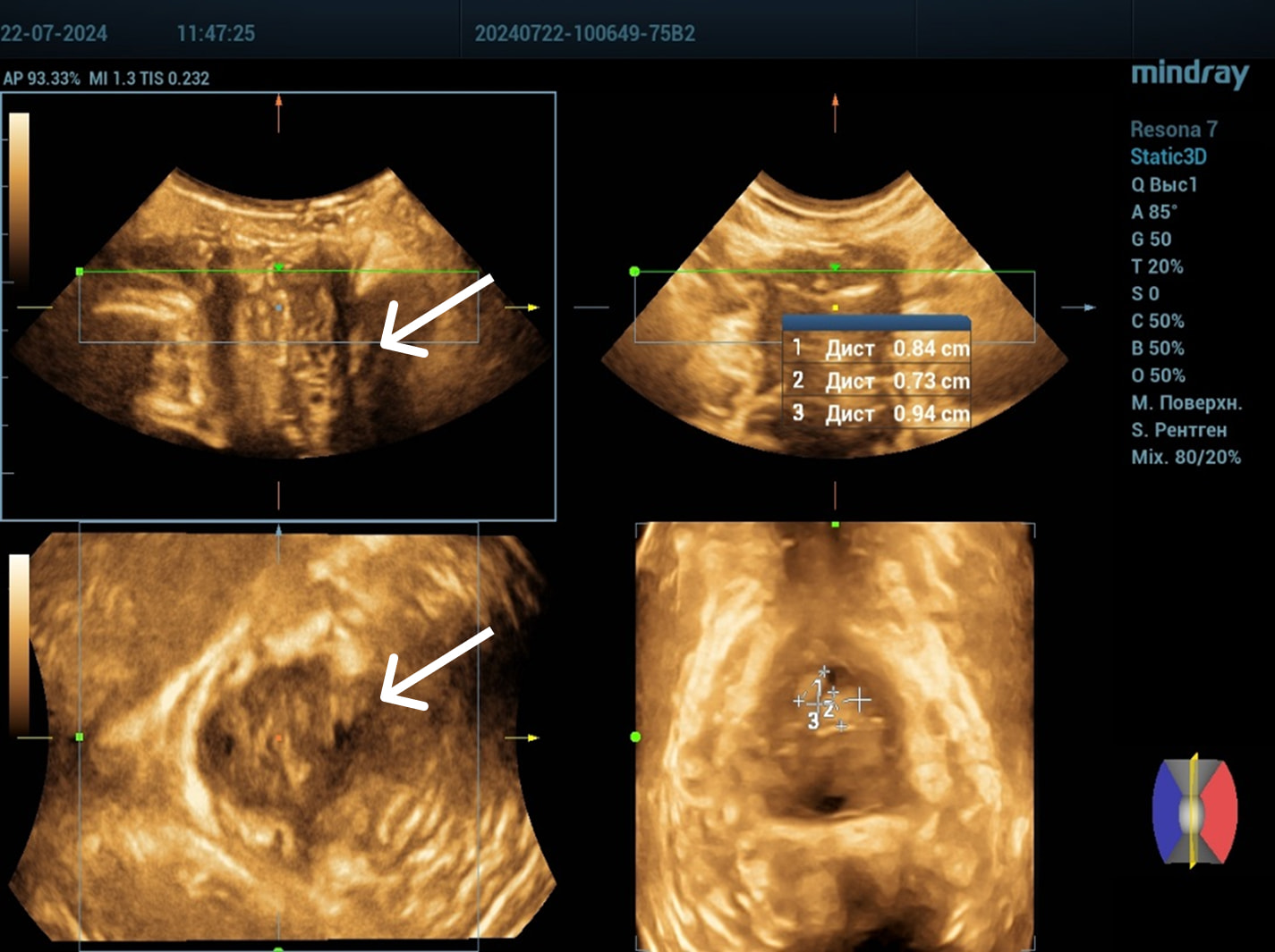
Осмотр: периуретрально визуализируется мягко-эластичное образование размерами 0,5×0,5 см.
Диагноз: хронический цистит (посткоитальный). Дистопия уретры. Опущение передней стенки влагалища I степени. Состояние после периуретрального введения геля на основе гиалуроновой кислоты.
Код материала: FURXXXXXXHQ Данные из архива проф. И.А. Аполихиной
Настоящий материал подготовлен в информационных целях и предназначен для специалистов здравоохранения. Клинический случай, представленный в публикации, отражает профессиональное мнение автора — профессора Аполихиной И.А., основанное на ее личном опыте и интерпретации клинических данных. Компания OlainFarm не несет ответственности за достоверность, полноту и актуальность представленной информации, а также за любые решения, принятые на ее основе. Компания не оказывает влияние на содержание материала и не гарантирует его соответствие действующим клиническим рекомендациям или стандартам оказания медицинской помощи.
Вопрос 1. Требуется ли пациентке на данном этапе хирургическое удаление филлера?
Вопрос 2. Какой антибиотик выбрать?
Вопрос 3. Какие методы вторичной профилактики показаны данной пациентке?
Ваш ответ верный!
Ваш ответ неверный!
Правильный ответ: Нет, достаточно консервативного лечения.
Правильный ответ: Фуразидина калиевая соль или фосфомицин.
Правильный ответ: В и Г.
Выбор осуществляется с учетом анамнеза пациентки (неоднократное использование антибиотиков), а также лабораторных данных об антибиотикорезистентности обнаруженного энтерококка. Кроме того, с учетом неоднократного приема фосфомицина и его кратковременного эффекта в анамнезе, целесообразно остановить выбор на препарате Фурамаг®.
У пациентки еще нет изменений, связанных с перименопаузой, поэтому назначение локальных эстрогенов нецелесообразно. Лиофилизат кишечной палочки неэффективен при инфицировании энтерококком. Необходимы антибиотикопрофилактика и фитопрофилактика.