Харшлын ринит

Харшлын риниттэй өвчтөнүүдийг эмчлэхэд, ЧХХ-н эмчийн үүрэг

Пациент Пациент Молекула Молекула Молекула Молекула Молекула Молекула Монстр
Стрелочка
Стрелочка

Харшлын ринитийн ангилал1

Харшлын ринитийн төрөл Тодорхойлолт
Улирлын шалтгаант харшлын ринит (УХР) Агаараар дамжих улирлын чанартай харшил төрүүлэгчээр үүсгэгдэн, IgE эсрэг бие ялгаран дархлааны эмгэг хариу болох үрэвслийн урвалын улмаас бий болдог өвчин. Энэхүү улирлын чанартай харшил төрүүлэгчдийн нөлөөллийн үргэлжлэх хугацаа нь газарзүйн байршил ба цаг уурын нөхцөлөөс хамаарна.
Жилийн турш үргэлжлэх харшлын ринит (ЖХР) Хүрээлэн буй орчинд жилийн туршид цочроогч, харшил төрүүлэгчээр өдөөгдөн IgE эсрэг бие ялгаран дархлааны эмгэг хариу болох үрэвслийн урвалын улмаас бий болдог өвчин. Үүнд тоосны хачиг, хөгц, амьтны гаралтай харшил төрүүлэгчид ба зарим мэргэжлийн үйл ажиллагаанаас шалтгаалсан харшил төрүүлэгчид хамаарна.
Давтамжтай харшлын ринит (завсарлагатай) IgE-ээр өдөөгдсөн үрэвслийн урвалын улмаас харшил үүсдэг бөгөөд харшлын шинж тэмдэг эсвэл нөлөөлөл нь давтамжтайгаар илэрнэ (долоо хоногт 4 өдрөөс бага эсвэл жилд 4 долоо хоногоос бага).
Тасралтгуй илрэх харшлын ринит (байнга) IgE-ээр өдөөгдсөн үрэвслийн урвалын улмаас харшил үүсдэг бөгөөд шинж тэмдэг нь тогтмол илэрнэ (долоо хоногт 4 өдрөөс дээш ба жилд 4 долоо хоногоос дээш).
Хааяа илрэх харшлын ринит IgE-ээр өдөөгдсөн үрэвслийн урвалын улмаас харшил үүсдэг бөгөөд ердийн орчинд байдаггүй зүйлтэй харьцахад илэрнэ (жишээлбэл найзын гэрт мууртай харьцах г.м.).
Стрелочка
Стрелочка

Харшлын ринит (ХР) – амьсгалын замаар орж ирсэн харшил төрүүлэгчийн нөлөөгөөр хамрын салст бүрхүүл цочирч IgE эсрэг бие ялгаран үрэвслийн урвал явагдсанаас үүсдэг өвчин юм.

Харшлын ринитийг өмнө нь зөвхөн улирлын болон жилийн гэж ангилдаг байсан нь зарим нэг сул талтай байсан. Учир нь ургамлын тоосонцрын улирал үргэлжлэх хугацаа нь газарзүйн байрлал болон цаг уурын нөхцөлөөс ихээхэн хамаардаг. Зарим бүсэд тоосонцрын улирал жилийн туршид үргэлжилж болдог.

Харшлын ринитийн шинж тэмдэг: усархаг нус гоожих, хамар битүүрэх, хамар загатнах, найтаах.

Тасралтгүй илрэх харшлын риниттэй өвчтөнүүдийн шинж тэмдэг нь улирлын тоосонцрын нөлөөгөөр улам дордож олон төрлийн харшлын мэдрэгшил үүсгэдэг. Тиймээс улирлын болон жилийн туршид илэрдэг харшлын ханиадны эмнэл зүйн ялгаа нь төдийлөн тодорхой бус байдаг.

Стрелочка
2 из 9
Стрелочка

Харшлын ринитийн хавсарсан өвчин ба хүндрэлүүд2

Стрелочка
Стрелочка
Харшлын ринитийн хавсарсан өвчин ба хүндрэлүүд Тархалт
Насанд хүрэгчдэд Хүүхдэд
Харшлын ринит нь хүндэрч гуурсан хоолойн багтраа үүсэх Зелёная галочка Зелёная галочка
Гуурсан хоолойн багтрааны сэдрэл Зелёная галочка Зелёная галочка
Нүүрний араг ясны хэлбэрийн гажиг Красный крестик Зелёная галочка
Гипосми (үнэрлэх мэдрэмж алдагдах) Зелёная галочка Зелёная галочка
Протрузи (нугалам хоорондын жийргэвчийн ивэрхий) Красный крестик Зелёная галочка
Янз бүрийн шүдний хазалтын гажиг Красный крестик Зелёная галочка
Хамарт ургацаг үүсэх Зелёная галочка Иконка вопроса
Чихэнд шингэн ихээр хуримтлагдах Зелёная галочка Зелёная галочка
Хамрын дайвар хөндийн үрэвсэл Зелёная галочка Зелёная галочка

тэмдэглэл:

Зелёная галочка

— магадлалтай;

Красный крестик

— тохиодоогүй;

Иконка вопроса

— тодорхойгуй.

Харшлын ринитийн шинж тэмдгүүдийг зохих ёсоор хяналтгүй үлдээвэл насанд хүрэгчид болон хүүхдэд ч хавсарсан өвчин үүсгэх хүндрэл гарахад нөлөөлж болзошгүй.

Харшлын ринитийн хамгийн түгээмэл тохиолддог хүндрэл нь: гуурсан хоолойн багтраа, хамрын ургацаг, голдуу хоёр талт дунд чихний үрэвсэл ба Евстахиевын гуурсны үйл ажиллагааны доголдол, үнэрлэх чадвар алдагдах г.м.

Хавсарсан өвчнүүд нь харшлын ринитийн явцыг хүндрүүлж хийж буй эмчилгээний үр дүнг бууруулж болдог.

Тиймээс, харшлын ринит нь өвчтөний амьдралын чанарыг бууруулаад зогсохгүй илүү хүнд өвчин үүсэх эрсдэлт хүчин зүйл нь болж, зарим тохиолдолд хөгжлийн бэрхшээлд ч хүргэж болзошгүй.

Стрелочка
3 из 9
Стрелочка

Чих хамар хоолойн эмчийн үүрэг

Иконка

Хамрын хөндийн үзлэг хийж үнэлэх

Иконка

Багажийн тусламжтайгаар хамрын урд талын үзлэг- риноскопи

Иконка

Залгиур хоолой ба хамрын хөндийн дурангийн үзлэг

График
Стрелочка
Стрелочка

Зарим тохиолдолд шинж тэмдгүүдийг зохих түвшинд хянахад хүндрэлтэй байдаг. Эмчилгээг оновчтой зөв хийхийн тулд ийм тохиолдолд зөвхөн чих хамар хоолойн эмч хийх боломжтой өргөтгөсөн оношилгоог гүйцэтгэх шаардлагатай болдог.

Чих хамар хоолойн эмч зөвхөн үзлэг хийгээд зогсохгүй мөн багаж хэрэгсэл ашиглан багажийн үзлэг оношилгоо хийх боломжтой. Хамрын хөндийн байдал болон гарч болох хүндрэл, жишээлбэл хамрын дайвар хөндийн үрэвсэл зэргийг үнэлэхийн тулд нэмэлтээр компьютер томографийн (КТГ) шинжилгээ хийж болно.

Хэрэв өвчтөн шууд чих хамар хоолойн эмчид хандсан бол эмч нь өвчтөний ажил алба, амьдралын нөхцөл, шинж тэмдэг, харшлын урвал үүсэхэд өдөөгч хүчин зүйл зэргийг тодорхойлох зорилгоор дэлгэрэнгүй асуумж авна. Ингэснээр зөвхөн зөв онош тогтоогоод зогсохгүй мөн харшлын ринитийн үед бол яг ямар харшил төрүүлэгч үрэвсэл үүсгэснийг тодорхойлох боломжтой. Цаашлаад эмч хамар ба залгиур хоолойн бодит үзлэг хийнэ, шаардлагатай тохиолдолд чихний сонсголын замыг ч үзнэ.

Чих хамар хоолойн эмч болон харшлын эмч хамтарч нарийвчилсан үзлэг хийж байж өвчтөний шинж тэмдгүүдийг тогтвортойгоор хянах боломжийг олгодог. Харшлын ринитийн үр дүнтэй эмчилгээг хийхэд шинж тэмдгүүдийг арилгаад зогсохгүй, тогтмол өвчтөний биеийн байдлыг хяналтандаа авснаар цаг тухайд нь эмгэг байдлыг илрүүлж, эмчлэх боломжтой болно.

Стрелочка
4 из 9
Стрелочка

Бүтэц, хэлбэрийн гажигийн жишээ: хамрын таславчийн мурийлт

Диагноз Диагноз
Стрелочка
Стрелочка

Харшлын риниттэй өвчтөнүүдэд хамрын таславчийн мурийлт байвал тухайн өвчний явцад сөрөг нөлөө үзүүлэх боломжтой.

Хамрын таславчийн бага зэргийн мурийлт бол хүн амын ихэнхид нь тохиолддог, хэрэв өвчтөнд илэрхий хүндрэл үүсгэхгүй байгаа бол хэвийн гэж үзэж болно. Гэвч хөгжлийн гажиг эсвэл гэмтлийн улмаас үүссэн хамрын таславчийн нилээн их хэмжээний мурийлт нь илүү хүнд үр дагаварт хүргэж болно.

Хамрын таславчийн мурийлт нь хурц хэлбэрийн ринитээс архаг хэлбэрийн ринитэд шилжих хамгийн түгээмэл шалтгаануудын нэг болдог. Үүнээс гадна, иймэрхүү бүтцийн өөрчлөлт нь ургацаг болон уйланхай үүсэхэд нөлөөлж болзошгүй, мөн амьсгалын чадвар буурах, хурхирах, амьсгал түр зогсох (апноэ) зэрэг хүндрэлүүдэд хүргэж болно.

Стрелочка
5 из 9
Стрелочка

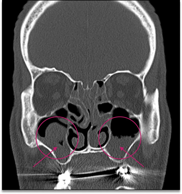
ХР-ийн хүндрэлийн жишээ: хамар, хамрын дайвар хөндийн үрэвсэл

Диагноз Диагноз
Стрелочка
Стрелочка

Сүүлийн жилүүдэд мэргэжилтнүүд харшлын ринит ба олон төрлийн хамар, хамрын дайвар хөндийн үрэвсэл хоорондын харилцаа хамаарлын талаар их ярьдаг болж. Энэхүү харилцаа холбооны механизм гүйцэд сайн судлагдаагүй байгаа ч харшлын риниттэй өвчтөнүүдэд архаг хамар, хамрын дайвар хөндийн үрэвсэл үүсэх магадлал өндөр гэж үздэг.

Компьютер томографын доорх зурагт хамрын дайвар хөндийн (хөндлөн зүсэлт)-ийг харж болно. Эрүүл хүнд (зүүн талынх) дээд эрүүний хонх нь цэвэр, өргөсөөгүй, салс зузаараагүй, хонх хэсэгт саарал сүүдэр ажиглагдаагүй байна. хамар, хамрын дайвар хөндийн үрэвслийн үед (баруун талын зураг) КТ-т эрүүний хонхнуудын доод хэсгүүдэд ихэнхдээ тэгш бус ирмэгтэй нягт сүүдэр тодорхойлогдож байна. Хамрын суваг салс хавагнасан байна.

Стрелочка
6 из 9
Стрелочка

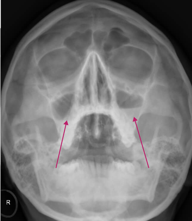
ХР-ийн хүндрэлийн жишээ: Хамрын дайвар хөндийн үрэвсэл

Диагноз Диагноз
Стрелочка
Стрелочка

Хурц хэлбэрийн дайвар хөндийн үрэвсэл нь хамар, хамрын дайвар хөндийн үрэвслийн үед элбэг тохиолддог, ингэхдээ хамрын хөндийн дайвар салстын үрэвсэл явагддаг. Хурц хэлбэрийн хамар, хамрын дайвар хөндийн үрэвсэл үзлэг ба асуумжийн үед сайн оношлогддог. Нянгийн гаралтай халдвар эсвэл хүндрэл үүссэн сэжиг байвал рентген зураг авах аргаар оношилгоог хийдэг.

Рентгений баруун талын зургийг харахад дээд эрүүний хоёр талт хурц хэлбэрийн идээт хамрын дайвар хөндийн үрэвсэл байгааг харуулсан байна, үүгээр дайвар хөндийн хонход хэвтээ түвшинд шингэн хуримтлагдсан байгааг баталж болно. Зүүн хонх нь ойролцоогоор 1/3-ээр илүү шингэнтэй, баруун хонх нь тал хэсэг нь шингэнээр дүүрсэн байна.

Стрелочка
7 из 9
Стрелочка

ХР-ийн хүндрэлийн жишээ: дунд чихний идээд үрэвсэл

Диагноз Диагноз
Стрелочка
Стрелочка

Хамар, хамрын дайвар хөндийн үрэвслийн үед явагддаг үрэвслийн процесс нь (түүнчлэн харшлын үед), цаг тухайд нь эмчилгээ хийгдэхгүй байвал чихний дунд, гадна ба дотор үрэвсэж, улмаар дунд чихний үрэвсэл үүсэхэд нөлөөлдөг байна. Ийм гэмтлийн үед өвчтөнд өвдөлт мэдрэн зовуурилах болно. Сүүлийн үеийн судалгаагаар, харшлын ринит нь хүүхдэд дунд чихний үрэвсэл үүсэхэд нөлөөлдөг хүчин зүйл болдгийг тогтоосон.

Энд та цоорлын өмнөх шатан дахь баруун талын цочмог явцтай дунд чихний идээт үрэвслийн эмнэл зүйн зураглал харж байна. Үзлэгээр чихний хэнгэргэн хальс нь хавагнасан, дээд хэсгээрээ хавдаж улайсан, голдуу арын доод квадрант хөөж хавагнасан, хэнгэргийн ард идээт шингэн хуримтлагдсан нь тодорхой харагдаж байна.

Стрелочка
8 из 9
Стрелочка

Харшлын ринитийн эмчилгээний төсөөлөл

Информирование пациентов о заболевании и важности приверженности лечению

Избегание аллергенов и промывание носа целесообразно в течение всего времени

График График

(*) Вспомогательная терапия.

Ринорея: Ипратропия бромид; Ринорея приБА: АЛТР; Зуд в области глаз/ кожная сыпь: п/о не седативные АГП; Офтальмологические проявления: глазные АГП или кромоны; Внезапная заложенность носа: деконгестанты (интерназальные или п/о, краткосрочно — до 7 дней).

АР — аллергический ринит; БА — бронхиальная астма; ВАШ — визуальная аналоговая шкала; ГКС — глюкокортикостероиды; инГКС — интраназальные глюкокортикостероиды; АГП (Н1) — антигистаминные препараты (Н1-гистаминовых рецепторов блокаторы); п/о — пероральный; инАГП — интраназальные антигистаминные препараты; АСИТ — аллерген-специфическая иммунотерапия.

  1. Таблица адаптирована из EUFOREA Allergic Rhinitis Pocket Guide и Next-generation ARIA (2019).
Стрелочка
Стрелочка

Орчин үеийн европын эмчилгээний клиник зөвлөмжүүдийг харахад харшлын ринитийн «шаталсан эмчилгээ» гэсэн ойлголтыг оруулж ирсэн (step up/step down) байдаг.

Эхний шатанд амаар ууж хэрэглэдэг нескдотиан антигистамин эмүүд хэрэглэнэ. Үүнээс гадна хамарт хэрэглэх АГ эсвэл хамарт хэрэглэх ГКС хэрэглэж болно.

Энэхүү эмчилгээнд хангалттай үр дүн өгөхгүй эсвэл шинж тэмдгүүд улам хүндэрч байвал бол оношийг тодруулах шаардлагатай бөгөөд өвчтөн эмчилгээг хир зэрэг тууштай дагаж мөрдөж байгааг шалгах, мөн хавсарсан өвчнүүд илрүүлснээс хойш дараагийн үе шат руу шилжих (step up), тэр шатанд дан ганц эмийн эмчилгээний оронд янз бүрийн эмийн хэлбэртэй ГКС ба АГ хослуулан хэрэглэнэ.

Хэрэв эмчилгээ урьдын адил үр дүнгүй байвал, мөн өвчтөний биеийн байдал муудвал урд өмнө нь тавигдсан оношийг дахин шалгаж батлах хэрэгтэй, харшлын ринитийн явцыг хүндрүүлж байгаа хавсарсан өвчний өргөн хүрээний илрүүлэг хийх шаардлагатай. Магадгүй энэ шатанд өвчтөнд мэс ажилбар ч шаардагдаж болох юм (жишээлбэл, хүнд хэлбэрийн ургацгийн үед).

Өвчтөний биеийн байдлыг үе үе үнэлэн биеийн байдал нь сайжирсан үед эмийн эмчилгээний ачааллыг бууруулах нь зүйтэй («доошоо нэг алхам» хийх step down).

Үндсэн эмчилгээ хийхээс гадна мөн давсны уусмалаар хамар угаахыг зөвлөдөг эсвэл харшил төрүүлэгчээр өвөрмөц дархлаа тогтоох эмчилгээ хийнэ (дархлаа эмчилгээ). Бусад эмчилгээний аргуудыг сонгохдоо өвчтөний хувь хүний онцлог ба хавсарсан өвчин байгаа эсэхийг харгалзан үзнэ, жишээлбэл нүдний үрэвсэл, гуурсан хоолойн багтраа ба бусад.

Стрелочка
9 из 9
Стрелочка